Procuramos dar a prótese total (dentadura)
O reforço metálico só pode ser visto pelo paciente, ele não aparece nem área vestibular e também na palatina e lingual.



Reforço metálico fundido que vai de molar a molar com 6 pinos que penetram os dentes anteriores.
O reforço metálico fica alojado, entre o rebordo gengival e os dentes, permitindo que o palato e a área lingual da prótese inferior sejam extremamente finos, recompondo o espaço natural da língua, melhorando a dicção e proporcionando mais conforto ao paciente.
O reforço metálico só pode ser visto pelo paciente, ele não aparece na área vestibular ou palatina da prótese superior e tbém na vestibular e lingual da prótese inferior.


O corredor bucal é o espaço entre a face vestibular dos dentes posteriores e a mucosa interna da bochecha.
O corredor bucal adequado contribui para a harmonia do sorriso e a trituração dos alimentos.
O corredor bucal adequado, com a inclinação dos dentes posteriores para o centro, favorece a harmonia do sorriso e a trituração dos alimentos.
Os freios labiais são inserções musculares móveis, o espaço para eles na prótese (alívio) evita o deslocamento ao falar/sorrir, feridas e desconforto, permitindo movimentos livres sem perder a vedação.




Bridas são dobras do tecido mole mais largas que os freios, localizadas lateralmente na boca, fazemos o alojamento (alívio) para não causar recessão gengival e interferir na higienização, fonética, estética e estabilidade das próteses.
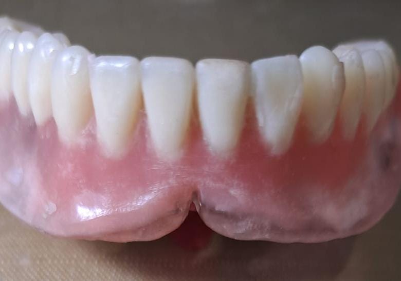
São dentes fabricados pela Multinacional Ivoclar, sediada em Schaan-Liechtenstein, com a camada externa em Isosit resistente à abrasão e com aparência perolada, bem natural.
São dentes confeccionado com resina altamente reticulada, resistente à abrasão, fissuras e formação de placa bacteriana, e com a incisal translúcida dando aspecto bem natural.
DENTES MFT. Importado da Alemanha
São dentes confeccionado com resina altamente reticulada, resistente à abrasão, fissuras e formação de placa bacteriana, e com a incisal translúcida dando aspecto bem natural.




Com anos de experiência, nossa clínica oferece tratamentos dentários personalizados, proporcionando resultados que melhoram sua saúde bucal e autoestima. Agende sua consulta e sorria com confiança!
DENTADURAS CURITIBA. LABORATÓRIO PRÓPRIO.
Dr. CARLOS B TROCHMANN. CRO-PR. 2,400 – UEPG-PR.
Fone (41) 99112-9676
Dr. Carlos de Carvalho, 655 sl. 403.
Moldagem com Moldeira de Estoque e Alginato, para obter o Modelo de Estudo e tbém a Moldeira Individual do Rebordo Gengival do Paciente.
Com a Moldeira Individual do Paciente, faço a Moldagem de Fundo de Vestíbulo, com Godiva de Baixa Fusão ou Borrachoso, que é o Fechamento Periférico Evitando a Entrada de Ar entre a Prótese e o Rebordo Gengival dando mais Estabilidade a Prótese
aí faço a Moldagem com Borrachoso ou Pasta Lyzanda para obter o Modelo Funcional ou de Trabalho.
Com o Modelo Funcional, faço a Placa Base, fixo o Rodete de Cêra, levo a boca do Paciente para Registrar a Linha Central, Linha do Sorriso, o Suporte Labial, e Corredor Bucal, em seguida vou Montar os Dentes em Articulador Semi Ajustável.
É a “PRICIPAL” É aí que vou fazer uma “PARCERIA” com o Cliente e um “ESPELHO” para Provarmos a Prótese na Boca, Conferindo a Linha Central, Linha do Sorriso, Suporte Labial, Corredor Bucal e tbém a Posição de alguns Dentes que o Cliente quer mudar, pois como ainda estão montandos em cêra é fácil mover, só depois da “APROVAÇÃO do CLIENTE” é que vou Acrilizar a Prótese, fazer o Ajuste de Oclusão, dar o Acabamento Final e Entregar ao Cliente com Direito a alguns Ajuste Posteriores.
Obs: Eu sou o Dentista, e faço tbém toda a parte Laboratorial.
Lorem ipsum dolor sit amet, consectetur adipiscing elit. Ut elit tellus, luctus nec ullamcorper mattis.
June 15, 2020
Lorem ipsum dolor sit amet, consectetur adipiscing elit. Ut elit tellus, luctus nec ullamcorper mattis.
August 10, 2021
Lorem ipsum dolor sit amet, consectetur adipiscing elit. Ut elit tellus, luctus nec ullamcorper mattis.
March 25, 2021
Lorem ipsum dolor sit amet, consectetur adipiscing elit. Ut elit tellus, luctus nec ullamcorper mattis.
April 30, 2022
Lorem ipsum dolor sit amet, consectetur adipiscing elit. Ut elit tellus.
Lorem ipsum dolor sit amet, consectetur adipiscing elit. Ut elit tellus.
Lorem ipsum dolor sit amet, consectetur adipiscing elit. Ut elit tellus.
Lorem ipsum dolor sit amet, consectetur adipiscing elit. Ut elit tellus.
Lorem ipsum dolor sit amet, consectetur adipiscing elit. Ut elit tellus.
Lorem ipsum dolor sit amet, consectetur adipiscing elit. Ut elit tellus.
Lorem ipsum dolor sit amet, consectetur adipiscing elit. Mauris sit amet tristique neque, in suscipit sem. Fusce ut tellus neque. Suspendisse rhoncus purus porta neque ultricies pretium.
Lorem ipsum dolor sit amet, consectetur adipiscing elit. Mauris sit amet tristique neque, in suscipit sem. Fusce ut tellus neque. Suspendisse rhoncus purus porta neque ultricies pretium.
Lorem ipsum dolor sit amet, consectetur adipiscing elit. Mauris sit amet tristique neque, in suscipit sem. Fusce ut tellus neque. Suspendisse rhoncus purus porta neque ultricies pretium.
Lorem ipsum dolor sit amet, consectetur adipiscing elit. Mauris sit amet tristique neque, in suscipit sem. Fusce ut tellus neque. Suspendisse rhoncus purus porta neque ultricies pretium.
Lorem ipsum dolor sit amet, consectetur adipiscing elit. Mauris sit amet tristique neque, in suscipit sem. Fusce ut tellus neque. Suspendisse rhoncus purus porta neque ultricies pretium.
Lorem ipsum dolor sit amet, consectetur adipiscing elit. Mauris sit amet tristique neque, in suscipit sem. Fusce ut tellus neque. Suspendisse rhoncus purus porta neque ultricies pretium.
Lorem ipsum dolor sit amet, consectetur adipiscing elit. Mauris sit amet tristique neque, in suscipit sem. Fusce ut tellus neque. Suspendisse rhoncus purus porta neque ultricies pretium.
Lorem ipsum dolor sit amet, consectetur adipiscing elit. Mauris sit amet tristique neque, in suscipit sem. Fusce ut tellus neque. Suspendisse rhoncus purus porta neque ultricies pretium.
Cuidamos do seu sorriso com ética, tecnologia e atenção humana. Agende sua consulta e tenha mais saúde, conforto e confiança todos os dias.
Copyright © 2025 Todos os direitos reservados